新子安おさない歯科医院

神奈川県横浜市
神奈川区入江1-13-25
新子安大口 から徒歩7
診療時間
10:00-13:00 14:30-19:00
火/水/土 10:00-13:00 14:00-18:00
10:00-13:00 14:30-18:30
休診日
木日祝
10年保証
インプラント
丁寧な
予防歯科
精密な
審美治療
  • メインビジュアル
  • メインビジュアル
  • メインビジュアル

世代を超えて

地域に寄り添う

一人ひとりに向き合い丁寧な治療を行います。

充実した専門医療

TOOTH MAINTENANCE 年間1000名以上が、
定期健診に
通われています

当院は皆様の健康な笑顔を長く保つために予防歯科に力を入れており、
年間1000名以上が定期健診に通われています。定期健診を行うことで、虫歯や歯周病などの病気を未然に防ぐことができます。

症例

期間
2

インプラント/セラミック

金額
220万円
治療期間
2年
施術内容
インプラントとセラミック治療
リスク・副作用
  • 経年的にプラスチック部分が変色する事があります。
  • 治療後、痛みや違和感、出血、腫れ、麻痺などが出る事があります。
  • 強い衝撃を与えると、被せ物が欠けたり割れたり、外れたりする事があります。
  • 必ずしもご希望通りの見た目にならない事があります。
  • 治療に際して、根の治療が必要になる場合があります。
  • 根の治療を行った場合、腫脹や出血、痛みなどを生じる事があります。
  • 被せ物をかぶせた後に根の病気が再発した場合、被せ物を外さなければならない事があります。(外した被せ物の再利用は多くの場合、出来ません)
  • 麻酔を行った場合、腫れやむくみを生じる事があります。
期間
2

インプラント/セラミック

金額
180万円
治療期間
2年
施術内容
インプラントとセラミック治療
リスク・副作用
  • 経年的にプラスチック部分が変色する事があります。
  • 治療後、痛みや違和感、出血、腫れ、麻痺などが出る事があります。
  • 強い衝撃を与えると、被せ物が欠けたり割れたり、外れたりする事があります。
  • 必ずしもご希望通りの見た目にならない事があります。
  • 治療に際して、根の治療が必要になる場合があります。
  • 根の治療を行った場合、腫脹や出血、痛みなどを生じる事があります。
  • 被せ物をかぶせた後に根の病気が再発した場合、被せ物を外さなければならない事があります。(外した被せ物の再利用は多くの場合、出来ません)
  • 麻酔を行った場合、腫れやむくみを生じる事があります。

ドクター紹介 DOCTOR

画像
副医院長
長内 和仁

初めまして、新子安おさない歯科医院の副院長の、長内和仁です。
横浜市生まれで、私立麻布中学、高校を卒業後、日本大学歯学部に入学しました。
大学の頃はバスケットボール部に所属していました。同期の友人たちは皆、歯科への高い情熱を持っていて、歯科界を牽引していくような人物ばかりでとても尊敬しています。そんな彼らに並び立てるよう、日々研鑽を積んでいます。
卒業後、父のご友人のクリニックで経験を積ませていただきました。そちらのスタッフの皆さんは勉強熱心で、歯科医師として生涯勉強が大事であることを若い頃から意識できる環境だったので、今でも感謝しています。その後世田谷区の歯科医院に勤め、こちらでは非常に精密な治療と、論文ベースの根拠に基づいた治療を学ばせていただき、今の私の臨床のベースとなっていると思います。
その後2020年から新子安おさない歯科医院で診療させていただいております。

当院は、父である院長と、私、私の妻の3人のドクターで診療させていただいています。
私の得意分野は精密審美治療と、歯周病になります。患者様一人一人に、お口の中をより健康で審美的になるお手伝いができるよう、全力で治療に臨ませていただきますので、よろしくお願いいたします。

経歴
日本大学歯学部卒
資格・所属学会・団体
日本口腔インプラント学会所属
日本歯周病学会 認定医
画像 画像 画像 画像 画像 画像 画像 画像 画像 画像 画像 画像 画像 画像
画像
院長
長内 敬代

平成元年に現在地近くで開業して以来、地域の皆様に支えられて医療活動を展開してまいりました。
その間、インプラントや義歯に関する新しい技術習得や、社会の高齢化に伴う訪問診療等、地域のニーズとともに歯科医院の在り方も変容させてまいりました。
これからも歯科医療に求められる様態を吸収しつつ地域の皆様の健康をお口の中から支えるお手伝いができるよう成長し続けたいと思っています。

経歴
1984年 東京歯科大学卒業 歯科医籍登録
1984~1986年 東京歯科大学保存学講座 研究生(修復学分野)
1987~1989年 川崎佐藤歯科勤務
1989年 長内歯科開設
2000年 現地に転院 おさない歯科医院と名称変更
2016年 日本口腔インプラント学会認定専門医育成講習(旧呼称100時間講習)受講
資格・所属学会・団体
日本口腔インプラント学会 専修医登録
画像 画像 画像 画像 画像

PICK UP!

新子安おさない歯科医院のおすすめポイント

  1. 1
    JR新子安駅から
    徒歩5
  2. 2
    歯を残す
    治療
  3. 3
    駐車場
    3台完備
画像
画像
ここが違う!

最新の精密治療で、 痛みを少なく、歯を残す を追求した治療

画像

痛みの少ない、
歯を残す最新の治療

治療につきものな痛みをなるべく少なく行います。可能な限りご自身の歯を残すために、手術用顕微鏡、歯科用CTなども用い、あなたの歯を守ります。

画像

精密治療

ルーペ、マイクロスコープ、超音波器具を用いた精密な治療を行うことで、従来よりも、正確な治療が行え、治療の成功率を上げることができ、より歯を残せるようになり、治療の回数や期間も短くなります。

詳しくはこちら
画像

一人一人にあった治療プラン

歯周病検査、CT検査など精密検査を行い、患者様のご希望を聞いたうえで、あなたの生活スタイルに合った治療を提案します。

画像 OUR DENTAL TREATMENT 新子安おさない歯科医院に来られる
患者様からの
ご要望が多い治療

画像
白い詰め物、被せ物

審美治療 AUTHENTIC TREATMENT

累計1000以上の症例実績を元に、セラミック専門ラボと連携して、理想の歯の美しさを再現します。CT、マイクロスコープを使用した精密な診断、専修医による専門的な治療。

Feature

専門ラボと連携し、
形を綺麗に整える
  1. 画像

    専門ラボとの連携

    セラミックを専門的に作っているラボとの連携で美しく精度が高いセラミックの人工歯をご提供

  2. 画像

    早く歯を削る量を少なく

    「早く」「削る量を少なく」
    できる、ダイレクトボンディングが可能

  3. 画像

    マイクロスコープ

    マイクロスコープ、超音波器具などの最新機器を用いた精密な治療で形をキレイに整える

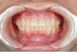
審美治療 症例

BEFORE
画像
AFTER
画像
金額
55,000
治療期間
1日
施術内容
左上1のダイレクトボンディング
リスク・副作用
  • 経年的にプラスチック部分が変色する事があります。
  • 治療後、痛みや違和感、出血、腫れ、麻痺などが出る事があります。
  • 強い衝撃を与えると、被せ物が欠けたり割れたり、外れたりする事があります。
  • 必ずしもご希望通りの見た目にならない事があります。
  • 治療に際して、根の治療が必要になる場合があります。
  • 根の治療を行った場合、腫脹や出血、痛みなどを生じる事があります。
  • 被せ物をかぶせた後に根の病気が再発した場合、被せ物を外さなければならない事があります。(外した被せ物の再利用は多くの場合、出来ません)
  • 麻酔を行った場合、腫れやむくみを生じる事があります。

審美治療 料金表

臼歯セラミック 104,500
前歯セラミック(※) 132,000
ダイレクトボンディング 55,000
詳しくはこちら
画像
他院では「できない」と言われた方も対応

インプラント IMPLANT

CT、マイクロスコープを使用した精密な診断、専修医による専門的な治療。
100本以上の症例実績をもとに、安全で最適な治療をご提供いたします。

Feature

実績豊富専門家による
リスクの少ない治療
  1. 画像

    豊富な実績

    100本以上の症例実績がある
    インプラントの専門家
    治療いたします。

  2. 画像

    リスクの少ない治療

    最新機器であるCT、
    マイクロスコープを用いた
    精密治療で
    リスクを可能な限り低減します。

  3. 画像

    あんしんの補償

    インプラント本体は
    10年間当院負担にて保証
    上部構造については3年間
    当院負担にて保証いたします。

インプラント 症例

BEFORE
画像
AFTER
画像
金額
600,000
治療期間
6ヶ月
施術内容
左上5インプラント埋入、ジルコニア補綴
リスク・副作用
  • 治療後、痛みや違和感、出血、腫れ、麻痺などが出る事があります。
  • 強い衝撃を与えると、被せ物が欠けたり割れたり、外れたりする事があります。
  • メンテナンスが不十分な場合、インプラント周囲炎になる事があります。
  • 必ずしもご希望通りの見た目にならない事があります。
BEFORE
画像
AFTER
画像
金額
600,000
治療期間
6ヶ月
施術内容
左上5インプラント埋入、ジルコニア補綴
リスク・副作用
  • 治療後、痛みや違和感、出血、腫れ、麻痺などが出る事があります。
  • 強い衝撃を与えると、被せ物が欠けたり割れたり、外れたりする事があります。
  • メンテナンスが不十分な場合、インプラント周囲炎になる事があります。
  • 必ずしもご希望通りの見た目にならない事があります。

インプラント 料金表

埋入手術 220,000
上部構造(※) 275,000
GBR(小規模) 55,000
GBR(大規模)(※) 110,000
サイナスリフト
(ラテラル)(※)
165,000
サイナスリフト
(クレスタル)(※)
55,000
詳しくはこちら
画像
もう大事な歯を失わせない

予防歯科 TOOTH MAINTENANCE

定期的に歯をメンテナンスすることで、虫歯や歯周病を未然に防ぐことができます。口内トラブルも早期発見できるため、早期に治療することで、重症化を防ぐことができます。
治療の痛みや、通院回数の負担などを大きく軽減することができます。

Feature

丁寧な保険診療で、
入念な検査を行い、
汚れを落とし切る
  1. 画像

    丁寧な保険診療

    「保険」で十分な枠をお取りし、入念な歯のケアを行います

  2. 画像

    入念な検査

    入念な検査を行い、現在の歯茎やプラークの状況を可視化します

  3. 画像

    汚れを落とし切る

    専用ユニットと超音波器具を用いて、歯磨きでは取れない汚れを落とします

当院は
口腔管理体制強化診療所(口管強)
の届け出施設です

※「口腔管理体制強化診療所(口管強)」は、患者さまが安心して医療を受けることができる環境を作り、虫歯や歯周病が重症化しないように予防・メインテナンスを行う歯科医院として、厚生労働省から認可を受けた歯科医院です。2024年時点で、全国約1割ほどの歯科医院が認可を受けています。

ご予約はこちら

ELEVATED CARE 当院の保険診療について

画像

より良い治療のために、
保険診療でも必ず拡大視野での治療をしています。
少しの変化を見逃さず早期発見・最小限の介入で、あなたの歯を守り続けたいと考えております。

画像

歯でお悩みの方へ

当院は横浜、新子安で四半世紀にわたり、
地域の皆様のお口の健康を
支えてまいりました。

患者さまが感じておられる不安、
ご希望を丁寧にお伺いし、
お一人おひとりに寄り添った診療
心がけております。

気になる症状やお悩みがあれば、
どうぞお気軽にご相談ください。

ご予約はこちら

新子安おさない歯科医院

住所
〒221-0014
神奈川県横浜市神奈川区
入江1丁目13−25
アクセス
オルト横浜から徒歩2分
JR京浜東北線新子安駅から徒歩5分
JR横浜線大口駅から徒歩8分
横浜市営バス213系入江西から徒歩1分
首都高速横羽線子安出口から車で3分
​駐車場
3台完備
​お問い合わせ
TEL 045-432-8148

診療時間

10:00-13:00 / 14:30-19:00
火/水/土 10:00-13:00 / 14:00-18:00
10:00-13:00 / 14:30-18:30
休診日
木日祝
画像

お知らせ

現在はお知らせがありません。

電話アイコン
電話でのご予約
045-432-8148
24時間受付
WEB予約